Children's Orthodontics

(Teeth Straightening)

FREE Assessment for Children under 18

At Court Dental we are offering a free Orthodontic Assessment with our Orthodontist on Saturdays!

You will be informed immediately if your child will qualify for NHS Orthodontics without the need to wait months for an orthodontic assessment by the NHS ortho practice.

You will then be given options and costs for either standard braces, white bracket braces or invisible clear aligner orthodontics. Treatments will be carried out on Saturdays, to avoid missing any time off school.

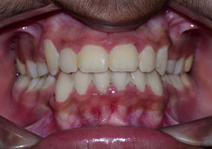
Before-and-after photos of one of our own patients

Children's Orthodontics - before
Children's Orthodontics - after


Children's Orthodontics - before
Children's Orthodontics - after


Children's Orthodontics - before
Children's Orthodontics - after


Book your free assessment today!